Energy News  
Gum disease feared to trigger full-blown AIDS: Japan study

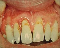
Periodontal disease.
by Staff Writers
Tokyo (AFP) Feb 12, 2009
An acid produced in the mouth due to gum disease invigorates the virus that can lead to full-blown AIDS, a Japanese researcher said Thursday, billing the finding as a world first.

A group of bacteria causes periodontal disease -- a chronic inflammation that erodes bony structure in the gum -- posing a threat to the teeth and the entire body, the researcher said.

"They produce a large amount of butyric acid, which smells like socks you wore for a long time," said Kuniyasu Ochiai, professor who chairs the Microbiology Department at Tokyo-based Nihon University.

The acid, which can also exist in rancid butter, hinders a kind of enzyme called HDAC that blocks HIV from proliferating, Ochiai told AFP.

In-vitro experiments have shown that the virus in two kinds of cells related to the immune system rapidly proliferates after given culture fluid containing the gum disease-causing bacteria and butyric acid they produced, he said.

"Serious periodontal disease could lead to the development (of AIDS) among HIV-positive people... although the probability largely depends on individual physical strength," Ochiai said.

"There are fears that even those whose were unaware that they had contracted HIV could develop the epidemic once they have periodontal disease," he said, underscoring the importance of oral health care.

Previous research has shown that gum disease is linked to diabetes and heart disease but it is the world's first finding that it activates HIV, Ochiai said.

The study will be published in the March issue of the US monthly Journal of Immunology, he said.

The research team also plans to confirm the finding in tests on animals, he said.

The study has been led by Ochiai as well as Takashi Okamoto, molecular biology professor at Nagoya City University in central Japan and research assistant Kenichi Imai there.

Share This Article With Planet Earth
del.icio.usdel.icio.us DiggDigg RedditReddit
YahooMyWebYahooMyWeb GoogleGoogle FacebookFacebook



Related Links
Epidemics on Earth - Bird Flu, HIV/AIDS, Ebola



Memory Foam Mattress Review
Newsletters :: SpaceDaily :: SpaceWar :: TerraDaily :: Energy Daily
XML Feeds :: Space News :: Earth News :: War News :: Solar Energy News


AIDS funds head fears impact of economic crisis
Ouagadougou (AFP) Feb 12, 2009
The executive director of the Global Fund to Fight AIDS, Tuberculosis and Malaria said Wednesday he was concerned about the impact the economic crisis would have on efforts to combat the diseases.







  • Analysis: Iraqi oil meetings set the stage
  • Analysis: Venezuela cuts more oil output
  • Missing Mexican island fuels mystery
  • Google testing home electricity use software

  • Iran may be running out of yellowcake: study
  • Albania gets Croatia backing for nuclear plant
  • Analysis: Nuclear revival in Sweden
  • France looks to boost nuclear energy exports

  • Global Warming May Delay Recovery Of Stratospheric Ozone
  • Science In The Stratosphere
  • Americans Owe Five Months Of Their Lives To Cleaner Air
  • Does Global Warming Lead To A Change In Upper Atmospheric Transport

  • Row in Brazil over reforestation reduction
  • Brazilian Indians fleeing bulldozers: group
  • Climate change threatens Lebanon's legendary cedars
  • Leftist groups meeting in Brazil call for Amazon protection

  • France to maintain ban on Monsanto GMO maize: PM
  • French food agency says GM maize safe
  • CSIRO Helps Mars With Sustainable Food Production
  • China probes safety of Danone products: state media

  • China overtakes US as largest auto market: state media
  • Culture shock: Getting a Chinese driver's licence
  • Tesla shifts electric sedan site to win US government loan
  • Development Center For Hybrid And Electric Vehicle Battery Systems

  • Bank of China extends massive credit to state aircraft maker
  • Shanghai Airlines seeks capital injection
  • China Eastern may take three years to be profitable: chairman
  • New Airbus joint-venture with China announced

  • Nuclear Power In Space - Part 2
  • Outside View: Nuclear future in space
  • Nuclear Power In Space

  • The content herein, unless otherwise known to be public domain, are Copyright 1995-2007 - SpaceDaily.AFP and UPI Wire Stories are copyright Agence France-Presse and United Press International. ESA Portal Reports are copyright European Space Agency. All NASA sourced material is public domain. Additional copyrights may apply in whole or part to other bona fide parties. Advertising does not imply endorsement,agreement or approval of any opinions, statements or information provided by SpaceDaily on any Web page published or hosted by SpaceDaily. Privacy Statement